Cleve

Meckel's Diverticulum Scan

Meckel's Diverticulum Scan

When a patient experiences unexplained gastrointestinal bleeding, especially in children, physicians often look for specific congenital anomalies. One of the most significant yet elusive causes of this issue is Meckel’s diverticulum. To identify this condition, medical professionals frequently rely on a specialized diagnostic tool known as a Meckel's Diverticulum Scan. This diagnostic procedure, formally referred to as a Meckel's scintigraphy, is a nuclear medicine imaging test designed to pinpoint the presence of ectopic gastric mucosa—stomach tissue that has grown in an abnormal location within the small intestine. By understanding how this scan works, what it detects, and how it is performed, patients and caregivers can better navigate the diagnostic process for unexplained digestive health concerns.

Understanding Meckel’s Diverticulum

Medical diagnostic imaging

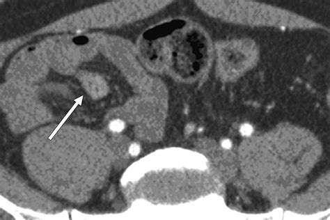
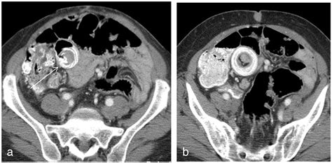
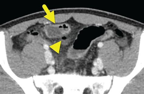
Meckel’s diverticulum is the most common congenital defect of the gastrointestinal tract, occurring in approximately 2% of the population. It is essentially a small pouch located on the wall of the lower part of the small intestine, present at birth. While many individuals live their entire lives without knowing they have it, others experience complications when the lining of this pouch contains cells similar to those found in the stomach.

Because these cells secrete acid, they can cause ulceration, bleeding, or perforation in the surrounding intestinal tissue. This often leads to painless, significant rectal bleeding, which is the primary reason doctors order a Meckel’s Diverticulum Scan. The scan is highly specific because it tracks the chemical uptake of these gastric cells, allowing for a non-invasive identification of the offending tissue.

The Procedure: What to Expect During the Scan

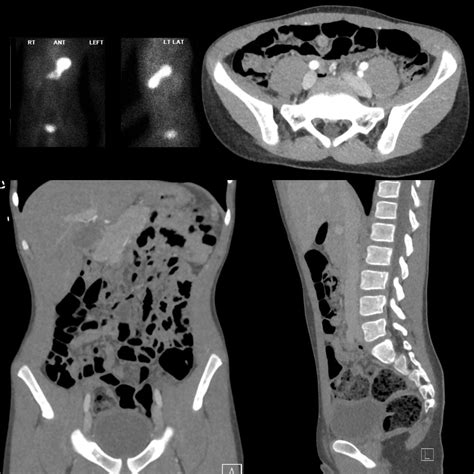
A Meckel’s Diverticulum Scan utilizes a radioactive tracer, typically Technetium-99m pertechnetate. This tracer is absorbed by the gastric mucosa cells, making them visible under a specialized camera known as a gamma camera. The procedure is generally broken down into several stages to ensure the highest accuracy:

  • Preparation: Patients are usually asked to fast for a few hours before the test to ensure the gastrointestinal tract is clear. In some cases, physicians may prescribe medications like H2 blockers or pentagastrin to enhance the sensitivity of the scan.
  • Injection: The radioactive tracer is injected intravenously into a vein in the patient’s arm. It is important to note that the amount of radiation used is minimal and generally considered safe for children.
  • Imaging: The patient lies on an imaging table, and the gamma camera is positioned over the abdomen. Images are typically captured continuously for about 45 to 60 minutes to track the movement and localization of the tracer.

⚠️ Note: Always inform the healthcare team if the patient has had any recent barium studies or contrast X-rays, as these can interfere with the clarity of the nuclear medicine imaging.

Comparison of Diagnostic Modalities

While the Meckel’s Diverticulum Scan is the gold standard for non-invasive detection, other diagnostic methods exist. Below is a comparison of how this scan stacks up against other common investigative procedures:

Diagnostic Method Primary Use Reliability for Meckel's
Meckel's Scan Detection of ectopic gastric tissue High sensitivity in pediatric cases
Endoscopy Direct visualization of the bowel Low (often cannot reach the mid-ileum)
CT Scan Structural imaging of the abdomen Moderate (good for complications like obstruction)
Laparoscopy Surgical exploration High (definitive, but invasive)

Interpreting the Results

The interpretation of a Meckel’s Diverticulum Scan requires expertise in nuclear medicine. A positive result is indicated by a “hot spot”—an area of increased radioactivity that appears in the lower abdomen during the imaging sequence. This “hot spot” corresponds to the area where the technetium-99m has accumulated in the gastric mucosa.

It is worth noting that a negative scan does not absolutely rule out the presence of a Meckel’s diverticulum. If the diverticulum lacks gastric mucosa or if the blood supply is compromised, the tracer may not accumulate sufficiently to be detected. In such instances, clinicians may consider repeat testing or moving toward surgical options if clinical symptoms are severe and persistent.

Safety and Radiation Considerations

Parents often express concern regarding radiation exposure during a Meckel’s Diverticulum Scan. It is important to contextualize this: the radiation dose from this procedure is comparable to the amount of natural background radiation a person receives over several months. The tracer is excreted from the body naturally through the kidneys and urine within 24 to 48 hours. Increasing fluid intake after the scan can assist in the faster clearance of the tracer from the system.

💡 Note: Breastfeeding mothers should consult with their radiologist regarding temporary cessation of breastfeeding following the administration of the radioactive isotope to minimize exposure to the infant.

Advancements in Imaging Technology

While the classic scintigraphy remains the primary choice, hybrid imaging techniques are starting to play a larger role. Combining a Meckel’s Diverticulum Scan with Single-Photon Emission Computed Tomography (SPECT) can provide 3D anatomical localization. This added depth helps surgeons better prepare for potential removal of the diverticulum, ensuring that the procedure is as minimally invasive as possible. By improving the precision of the diagnostic map, physicians can reduce the need for exploratory abdominal surgery.

Preparing Your Child for the Scan

Preparing a child for any medical test can be challenging. To make the Meckel’s Diverticulum Scan easier, consider the following steps:

  • Explain that the scan will not hurt and that the camera does not touch the body.
  • Bring a comforting item, such as a favorite stuffed animal or blanket, to the imaging room.
  • Ensure the child has plenty of entertainment, such as books or a tablet, to occupy their time during the hour-long scanning process.
  • Talk to the child’s doctor about whether a mild sedative is appropriate if the child experiences significant anxiety during medical procedures.

The Meckel’s Diverticulum Scan serves as a critical bridge between symptomatic presentation and effective surgical intervention. By accurately identifying ectopic gastric tissue, this scan allows medical teams to move forward with a clear treatment plan, ultimately resolving the underlying cause of gastrointestinal bleeding or distress. While the process may seem daunting, the non-invasive nature and high diagnostic yield make it an invaluable tool in pediatric gastroenterology. If your physician has recommended this examination, understanding the steps and the safety profile can help put your mind at ease while focusing on achieving the best possible health outcome for the patient. Through a combination of accurate diagnostic testing and expert clinical judgment, the path to recovery becomes significantly clearer and more manageable for families dealing with this condition.

Related Terms:

  • meckel's diverticulum location
  • positive meckel scan
  • meckel's diverticulum vs diverticulosis
  • meckel scan protocol
  • meckel's diverticulum age range
  • meckel's scan procedure